FEATURED CHALLENGES
                
                
            
                    
                      FEATURED ALGORITHMS
                
                
            Features
Manage Your Data
- Upload medical imaging data easily and securely
 - Control who has access to the data
 - View data with our globally available browser-based workstations
 
Train Expert Annotators
- Create sets of questions that users must answer about a dataset
 - Invite clinical experts take part in the training
 - Deliver immediate feedback on performance
 
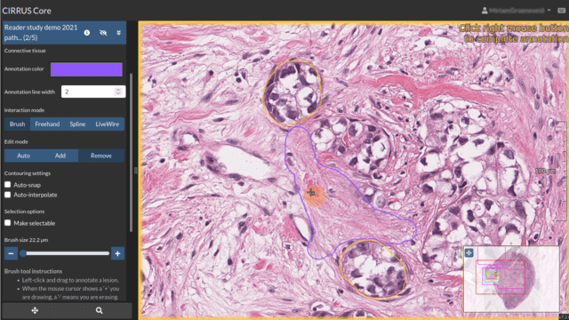
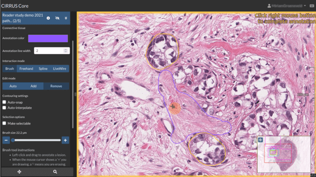
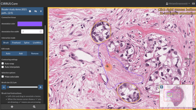
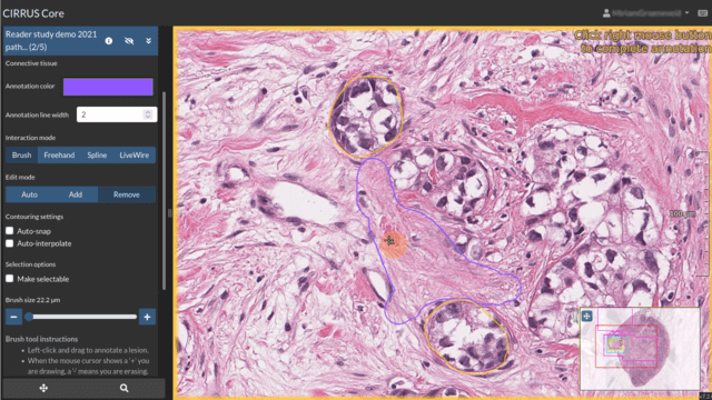
Gather Annotations
- Create your own set of questions for your dataset
 - Customise the hanging protocols and overlays
 - Use our intuitive workstations to view and report the images
 
Benchmark Algorithms
- Manage your annotated training, test and validation data sets
 - Gather machine learning solutions for your clinical question
 - Fair assessment of algorithm performance
 
Deploy Your Algorithms
- Upload algorithm container images
 - Manage access for clinical and non-clinical researchers
 - Upload data for execution by your algorithm on our infrastructure
 
                            
                                    
                                    
                                    
                
                
                
                
                
                
                
                



